My partner of 28 years, Rae Luscombe, was diagnosed with AMD.
She applied our recommended healing tools:
• Microcurrent
• PEMF
• Photobiomodulation
• Living Water
She also applied our Functional Formulations™ including:
• Macular Wellness formulations (each with a single carotenoid to prevent competitive inhibition)
• Lipid Cleanse
• WholOmega
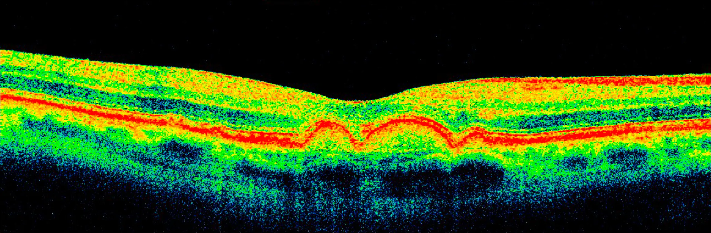
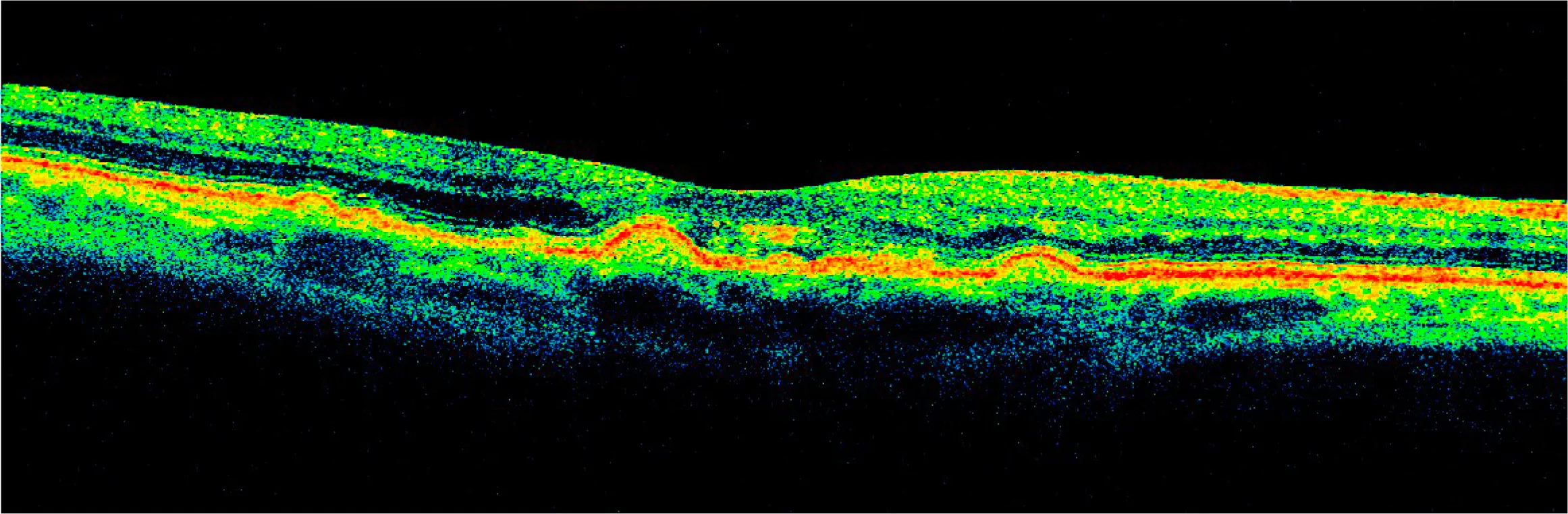
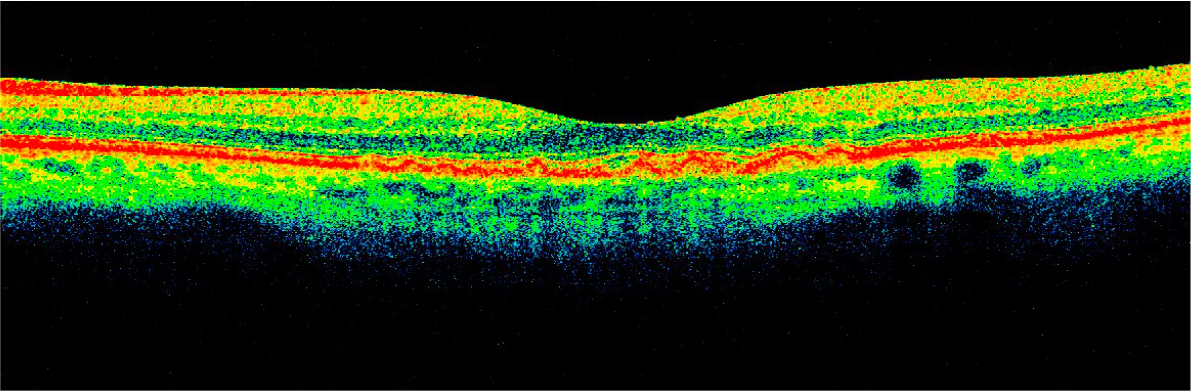
At her 6-month follow-up, her drusen were decreased by about 70%.
It inspired me to use AI to turn the OCT scans into a video to help visualize the healing process...




After years of deterioration on AREDS2 and other more conventional nutritional supplements, drusen largely resorbed in 15 months on a higher priced broad spectrum botanical/nutritional regimen, restoring 20/20 visual acuity in each eye as well as distortion-free Amsler Grids.
The full case report entitled "Regressing Dry Macular Degeneration" by Dr. Michelle Valella is available on request.


Cover each eye one at a time, and stare for a moment at the dot in the center of the Amsler Grid.
If you see any wavy or distorted lines, you most likely have soft drusen in that eye...
Check with your eye doctor to be sure, because even if the lines are not affected yet, you could have soft drusen starting to deposit beneath your macula...
Soft drusen are deposits that build up behind the retina, resulting in visual distortion...
Lipofuscin is another type of fatty deposit seen in the retina when the circulation can't remove the waste products of retinal metabolism...
In the worst case scenario, drusen eventually contribute to progression to wet macular degeneration...
That's why soft drusen in the macular area are considered an important risk factor for development of the worst form of ARMD called wet macular degeneration...
Drusen are complex structures made mostly of the lipid metabolic wastes from the retina that your body is not keeping up with eliminating...
What can you do if you have Soft Drusen?
Coenzymes:
Transport of Vitamin A to the retina is blocked by cholesterol deposits causing decreased dark adaptation in early in the ARMD disease process.
Vitamin A is included in Lipid Cleanse to support visual function, since it is deficient in the affected retinal tissues...
Choline, sometimes considered Vitamin B13 or B18 can be supplied in a number of beneficial ways to mobilized fatty deposits...
We include Phosphatidyl Choline as Lecithin in this formula for its ability to solubilize fats in an aqueous medium like the blood...
DMAE (Dimethylethanolamine) also helps eliminate lipofuscin and free radicals from brain cells, which includes the retina which is embryologically developed as brain tissue, but it may require the plant hormone PCA to convert it into its esterified form Centrophenoxine.
Both Alpha GPC (L-Alpha glycerylphosphorylcholine) and Citicoline are also excellent ingredients to supply the B13 effect of fat mobilization and we use them in our formulary...
Centrophenoxine also helps dissolve lipofuscin, and we include it in this formulation because of its enhanced ability to cross the blood/brain barrier and the blood/retina barrier...
Inositol, sometimes called Vitamin B8 or B21 helps to dissolve amyloid plaque, with a daily dosage range up to 3000 mg.
Acetyl L-Carnitine, also known as Vitamin B20, also helps reduce lipofuscin deposition as it transports long-chain fatty acids into the mitochondria for oxidation and release of metabolic energy.
CoQ10 supports cellular oxidation of fats for energy production...
Vitamin and mineral supplements include vitamins C and E, beta-carotene, zinc, and copper may help slow down the development of AMD for those who have soft drusen. Source: https://www.drugs.com/cg/drusen
Lipid Cleanse includes Vitamins C and E, Vitamin A (rather than beta-carotene which must be metabolized to become the active form), Zinc, and Copper in optimal forms, plus a range of additional nutrients and botanical synergists...
Vitamin C is supplied in this formula as the alkaline Zinc Ascorbate, since the addition of Zinc serves Vitamin A metabolism, vision, wound healing, and relevant immune function needed for tissue cleansing.
The low doses of Zinc and Copper in the formula are in balanced ratio, and both are supplied in bioavailable forms, with Copper supplied as the Glycinate amino acid bound form...
We supply the whole Vitamin E complex as Mixed Tocopherols in this formula.
Vitamin E and MSM are both included for support in reducing scar tissue that results from cicatrization of damaged tissues...
Scars always contract, particularly in the first 6 months after formation, and this restricts the flow of vascular circulation and nerve current, as well as bio-communication and the direct current flow that detoxifies tissues through the extracellular space via the meridians and vessels of acupuncture and electroacupuncture...
When additional scar reduction support is desired, consider our formulation Clear the Way...
Clear the Way is best taken on an empty stomach to optimize the systemic effects of the high dose Serratiopeptidase enzyme, derived from a bacterium in the gut of the silkworm...
Amines:
Acetyl L-Carnitine, mentioned above, bridges between the B Vitamin family and the amine compounds since Carnitine is an amino acid...
L-Carnitine, like Acetyl L-Carnitine, transports fats into the mitochondria so they can be oxidized for fuel to power restored cellular function...
Glutathione (GSH) is a crucial tripeptide for cellular protection and detoxification, but intracellular levels are low in degenerative tissues, and since the distressed cells may not be able to make enough Glutathione as an anabolic reaction even when supplied with the component amino acids, we deliver it intracellularly by adding S-Acetyl Glutathione to this formula.
The added S-Acetyl group prevents digestion of the GSH moiety in the gut and during delivery in the blood plasma, but is cleaved off by an enzyme present only inside the cell, releasing pre-formed GSH into the cytoplasm...
Taurine is an amino acid known for its beneficial effects on the retina, so we use it to deliver Magnesium as Mg Taurate for double benefits...
We are now upgrading to Magnesium Acetyl-Taurate, since the acetyl group improves the bioavailability in the retina and brain by crossing the blood-brain barrier and the blood-retina barrier.
Lysine is very useful to mobilize cholesterol, because cholesterol binds reversibly to Lysine, as pointed out by the only person to ever win 2 unshared Nobel Prizes: Linus Pauling...
We use this powerful effect of the simple amino acid to release cholesterol from arterial plaque in our Chelation formula...
L-Carnosine is a dipeptide that helps prevent glycation, which contributes to the cross-linking that binds deposits together...
Lipase and Protease are included to support breakdown of fats and proteins, both of which are included in the deposits.
Botanical Factors:
Lutein and Zeaxanthin are beneficial, and are supplied separately in our Macular Wellness formulas to prevent competitive inhibition of absorption, as well as to avoid being bound to the Nano Chitosan fiber in this formula...
Nano Chitosan is a very low molecular weight form of the fiber Chitosan that is small enough to be absorbed and circulated in the blood, where it binds fats, heavy metals, petrochemicals, and radioactive particles.
Chitosan is based on an 800 year old traditional Japanese medicine made from crustacean Chitin, which I describe in detail in my book Materia Medica...
The processing to remove acetyl groups to make medical grade Chitosan also removes all potentially allergenic proteins, but to avoid any concern by those who may be sensitive to shellfish, we use a fungal source for our Chitosan and Nano-sized Chitosan molecules...
Other Metabolic Cofactors:
Lipoic Acid helps against lipofuscin, but is synthetic, so half of the molecules are the wrong shape (opposite chirality). Natural R-Lipoic Acid works even better... But when we add this to the formula, we will use the patented form stabilized bioenhanced R-Lipoate, which is about 40 times more effective for the same dosage...
By using the purest and most powerful ingredients in their most active and effective forms, we are able to pack a tremendous amount of healing support and stimulation into each capsule...
The nootropic substance Piracetam, as well as Creatine, are also known to reduce lipofuscin in rat brains.
A broad spectrum of 25 probiotic flora species are included to help restore the body's Microbiome...
We are learning that changes in the microbiome typically precede the onset of disease symptoms, the probiotic flora produce a wide range of enzymes to assist the body's healing and cleansing efforts...
Bioavailability Cofactors:
This formula also includes our Bioavailability Complex to increase both gut absorption and circulatory transport and delivery to the eye tissues.
Ingredients in the Fibonacci inspired sequence are Vinpocetin (for brain and eye perfusion), Piperine (for gut absorption), Gingerol (for gut absorption), Licorice Omnipotent (for harmonizing all the ingredients, as used in 80% of botanical formulations in Traditional Oriental Medicine), Moringa (to increase absorption of all nutrients), Niacin (to increase systemic circulatory delivery), and Ginkgo (to increase ocular perfusion and delivery to other tissues)...
Purity & Potency:
As with all of our Functional Formulations™, Lipid Cleanse is completely free of undesirable excipients, like stearates that reduce bioavailability by coating both nutrients and the gut lining with a biofilm.
For Macula Regeneration, take a different Macular Wellness formula at each meal, and take Lipid Cleanse between meals if your stomach tolerates taking a capsule when it is empty...
If necessary for comfort, have it with a snack between meals...
If we convert this formula to an enteric remedy to enhance the probiotic and systemic enzyme effects, we avoid phthalates which are commonly used in medicines and enteric supplements, but wreak havoc on the immune and endocrine systems...
By the way, our remedies are supplied in Biophotonic Glass bottles to enhance the stability and bioenergetics of all the precious ingredients...
Our remedies are not mere supplements... They are Sacraments because their function is to support and stimulate healing of the body, mind and spirit...
They are made by hand with love and prayer, and they are energized by a scalar field of the Dominant Harmonic Frequency of Nature to increase their content of ORMUS (M-state spirit minerals, the condensates of the transition minerals that make up the immortal conscious body).
And please let us know if you need a referral to an eye doctor who will work with you in your Accelerated Self Healing™ process...
As you can see, we put our heart and soul into supporting your wellbeing...
We look forward to being on your Wellness Team!
- Dr. Glen Swartwout, the Wizard of Wellness







